Implant Restoration
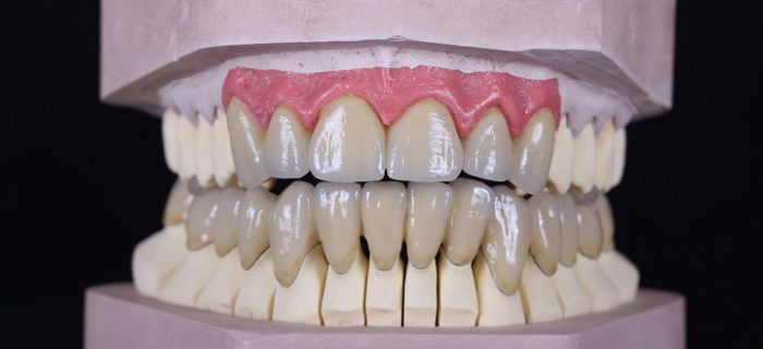
Upper Arch Implant Over e.max
Screw Retain Implant Arch
Assorted Abutments
Upper and Lower Implant Reconstruction
4 Unit Implant Bridge
With precision, Biodent has been restoring thousands of implant cases over the years. We have accumulated vest knowledge, know-how, and ins-outs of many implant brands and platforms. You can expect highest care, passion, and quality from us. We always step back and think that what and how we do will affect your practice and patients.
You will feel and understand our efforts.






